ホワイトニングとは

そうした黄ばみ・変色を改善して、白く輝く歯にするのがホワイトニングです。
ホワイトニング剤を使って歯を内側から漂白して白くするので、歯を削る必要はありません。
大切な天然歯はそのままに、自然な白さを目指すことができます。
ホワイトニングを希望される方は岡山のひだまり歯科へご相談ください。
歯のクリーニングとホワイトニングは何が違う?
歯のクリーニングはセルフケアだけでは落とせない汚れを、専用器具を使って隅々まで取り除くことで、虫歯や歯周病などの病気を予防するためのものです。
着色汚れ(ステイン)も落とせるので、歯本来の白さを取り戻すことができます。
ホワイトニングは歯を白くすることに特化した施術で、クリーニングでは歯本来の白さ以上にはできませんが、ホワイトニングなら理想の白さを目指すことが可能です。
ホワイトニングの種類は3つ!どうやって使い分ける?
- 歯科で行う「オフィスホワイトニング」

短期間で歯を白くしたい方におすすめです。
- 自宅・自分でできる「ホームホワイトニング」

白さが実感できるまでに時間がかかりますが、ホワイトニング効果が長持ちしやすいです。
好きな時にホワイトニングできるので、歯科医院へ通院する時間がとれない方におすすめです。
岡山のひだまり歯科ではホームホワイトニングを行っています。
- 上記2種を組み合わせた「デュアルホワイトニング」
オフィスホワイトニングとホームホワイトニングを併用する方法で、それぞれの長所を活かして短期間で確実に歯を白くすることが可能です。
最も効果的なホワイトニングの方法と言えます。
ホワイトニングを受けるときの注意点
無カタラーゼ症・虫歯・歯周病の方は施術できません
無カタラーゼ症の方は重篤な疾患を招く恐れがあるため、ホワイトニングを受けることはできません。
また虫歯・歯周病がある方は、先にそれらを治療してから施術を行うことになります。
妊娠中、授乳中の方は施術できません
安全性が確保されていないため、施術を避けるようにしましょう。
歯石や歯肉炎がある場合は痛みを感じることがあります
歯石や歯肉炎がある場合には、先に歯石除去や治療を行います。
その後、ホワイトニングをすると痛みを感じる場合があります。
施術当日は食事に気をつけましょう

料金案内
料金は全て税込価格です。
| 治療内容 | 料金(税込) |
|---|---|
| ホームホワイトニング(全顎) | ¥16,500 |
| オフィスホワイトニング(全顎) | ¥16,500 |
ホワイトニング症例
ホワイトニング
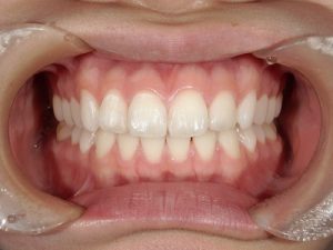
症例1
術前

術後

| 治療方法 | ホワイトニング |
|---|---|
| 治療回数 | 1回 |
| 副作用・リスク | ホワイトニング後は、徐々に色戻りをおこす場合がほとんどです |
| 費用 | 16,500円 |
症例2
術前

術後

| 治療方法 | ホワイトニング |
|---|---|
| 治療回数 | 2回 |
| 副作用・リスク | ホワイトニング後は、徐々に色戻りをおこす場合がほとんどです |
| 費用 | 33,000円 |
症例3
術前

術後

| 治療方法 | 初回ホームホワイトニングセット2シリンジ+追加のホワイトニング剤2シリンジ×4 |
|---|---|
| 治療回数 | 4回 |
| 副作用・リスク | ホワイトニング後は、徐々に色戻りをおこす場合がほとんどです |
| 費用 | 34,100円 |
ウォーキングブリーチ
症例1
術前

術後

| 治療方法 | ウォーキングブリーチ(神経のない歯のホワイトニング) |
|---|---|
| 治療回数 | 2回 |
| 副作用・リスク | ウォーキングブリーチ後、色戻りすることがあります |
| 費用 | 11,000円 |















